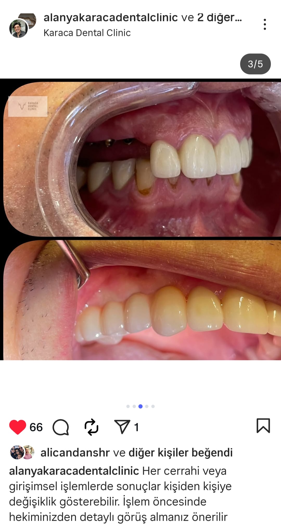
- Dental Filling Root Canal Treatment Implant Treatment Pediatric Dentistry (Pedodontics) Laminate Crown Veneer Zirconium Crown Veneer Aesthetic Dental Filling Smile Design Hollywood Smile Dental Tartar Cleaning Air Flow Teeth Cleaning Teeth Whitening Tooth Extraction Dental Night Plate Digital Dentistry 24/7 Dental Clinic Service Emergency Dental Clinic Service On-call Dental Clinic Service # z #